Olej Kokosowy Na Wybielanie Zębów





Wybielanie Zebow Ssanie Oleju Oil Pulling Jest To Domowy Na Naturalna Pielegnacja Zszywka Pl

Wybielanie Zebow Ssanie Oleju Oil Pulling Jest To Domowy Na Naturalna Pielegnacja Zszywka Pl

Wybielanie Zebow Funny Facts Beauty Spa Beauty Hacks

Wybielanie Zebow Funny Facts Beauty Spa Beauty Hacks

Jak Naturalnie Wybielic Zeby W Domu W 3 Minuty Youtube

Jak Naturalnie Wybielic Zeby W Domu W 3 Minuty Youtube

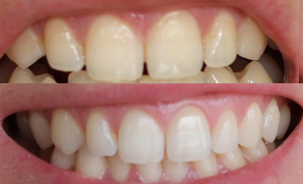
Codziennie Plukala Usta Olejem Kokosowym A Po Dwoch Tygodniach Stalo Sie To Wiadomosci Rozrywka Gwiazdy Informacje I Opinie Z Kraju I Ze Switata Twojenowinki Pl

Codziennie Plukala Usta Olejem Kokosowym A Po Dwoch Tygodniach Stalo Sie To Wiadomosci Rozrywka Gwiazdy Informacje I Opinie Z Kraju I Ze Switata Twojenowinki Pl

5 Powodow Aby Uzywac Oleju Kokosowego Zamiast Pasty Do Zebow Zdrowa Dieta Odchudzanie I Przepisy Kulinarne

5 Powodow Aby Uzywac Oleju Kokosowego Zamiast Pasty Do Zebow Zdrowa Dieta Odchudzanie I Przepisy Kulinarne

Diy Wybielanie Zebow Weglem Wybielajaca Pasta Z Wegla Aktywnego I Oleju Kokosowego Efekty Po Miesiacu Shinyhaired Wlosy Uroda Zdrowie

Diy Wybielanie Zebow Weglem Wybielajaca Pasta Z Wegla Aktywnego I Oleju Kokosowego Efekty Po Miesiacu Shinyhaired Wlosy Uroda Zdrowie

Diy Wybielanie Zebow Weglem Wybielajaca Pasta Z Wegla Aktywnego I Oleju Kokosowego Efekty Po Miesiacu Shinyhaired Wlosy Uroda Zdrowie

Wegiel Aktywny Na Zeby Jak Dziala Wybielanie Naturalnemetody Pl

Wegiel Aktywny Na Zeby Jak Dziala Wybielanie Naturalnemetody Pl

Genialny I Tani Sposob Na Wybielenie Zebow W Trzy Minuty Wegiel Aktywny Moje Efekty Uroda I Wlosy Blog O Urodzie Wlosach I Kosmetykach

Genialny I Tani Sposob Na Wybielenie Zebow W Trzy Minuty Wegiel Aktywny Moje Efekty Uroda I Wlosy Blog O Urodzie Wlosach I Kosmetykach

Wybielanie Zebow Na Porady Zszywka Pl

Wybielanie Zebow Na Porady Zszywka Pl

Niezwykly Sposob Na Wybielenie Zebow Ktorego Nie Znasz A Dziala Healthy Life Hacks Beauty Hacks Health

Niezwykly Sposob Na Wybielenie Zebow Ktorego Nie Znasz A Dziala Healthy Life Hacks Beauty Hacks Health

Jak Zrobic Czarna Paste Do Zebow Przepis Czarna Pasta Do Zebow Dompelenpomyslow Pl

Jak Zrobic Czarna Paste Do Zebow Przepis Czarna Pasta Do Zebow Dompelenpomyslow Pl

Od 29 99 Zl Olej Kokosowy Do Wybielania Zebow Miracoil W 2 Smakach 10 20 Lub 30 Saszetek Do 57

Od 29 99 Zl Olej Kokosowy Do Wybielania Zebow Miracoil W 2 Smakach 10 20 Lub 30 Saszetek Do 57

Mimo Wszelkich Prob I Staran Bezuzyteczna Pl Codzienna Dawka Wiedzy Bezuzytecznej

Mimo Wszelkich Prob I Staran Bezuzyteczna Pl Codzienna Dawka Wiedzy Bezuzytecznej

Moje Efekty Po Wybielaniu Zebow Weglem Aktywnym Pielegnacja Wlosow Blog

Moje Efekty Po Wybielaniu Zebow Weglem Aktywnym Pielegnacja Wlosow Blog

5 Powodow Aby Uzywac Oleju Kokosowego Zamiast Pasty Do Zebow Zdrowa Dieta Odchudzanie I Przepisy Kulinarne

5 Powodow Aby Uzywac Oleju Kokosowego Zamiast Pasty Do Zebow Zdrowa Dieta Odchudzanie I Przepisy Kulinarne

Wybielajaca Zeby Pasta Z Kurkumy Tani Patent Z 2 Skladnikow

Wybielajaca Zeby Pasta Z Kurkumy Tani Patent Z 2 Skladnikow

Chcesz Pozbyc Sie Dziur W Bezuzyteczna Pl Codzienna Dawka Wiedzy Bezuzytecznej

Chcesz Pozbyc Sie Dziur W Bezuzyteczna Pl Codzienna Dawka Wiedzy Bezuzytecznej

Wybielanie Zebow Na Uroda Zszywka Pl

Wybielanie Zebow Na Uroda Zszywka Pl

Gwiazdy Pokochaly Oil Pulling I Nic Dziwnego To Swietny Sposob Na Bialy Usmiech Wizaz Pl

Gwiazdy Pokochaly Oil Pulling I Nic Dziwnego To Swietny Sposob Na Bialy Usmiech Wizaz Pl

4 Domowe Sposoby Na Wybielanie Zebow Dbam O Siebie

4 Domowe Sposoby Na Wybielanie Zebow Dbam O Siebie

Source : pinterest.com